Мы приняли вашу заявку, свяжемся с вами в ближайшее время.
История
История

Проточная цитометрия (FCM) — это широко используемый метод, для проведения быстрого многопараметрического качественного и количественного анализа субпопуляций клеток, а также сортировки клеток или частиц. Эта технология находит широкое применение в фундаментальных исследованиях, медицине, иммунологии и фармацевтических разработках.
ABclonal предлагает комплексное решение для анализа проточной цитометрии и функциональных анализов, помогая исследователям получать высококачественные и воспроизводимые результаты, одновременно ускоряя научные исследования. Используя революционную технологию производства рекомбинантных кроличьих моноклональных антител SMab, компания ABclonal разработала кроличьи моноклональные антитела ABflo, которые обладают рядом преимуществ: высокую специфичность, чувствительность и стабильность от партии к партии.
|
|
|
|
Заказать антитела по каталогу ABclonal |
|
A22154.100T
|
|
100 мкг
|
|
54 220, руб.
|
|
|
|
|||||
|
Проточная цитометрия (FCM) — это широко используемый метод, в котором используется проточный цитометр для проведения одновременного многопараметрического качественного и количественного анализа, а также сортировки клеток или частиц в состоянии быстрого линейного потока под воздействием лазерного излучения определенной длины волны. Эта технология находит широкое применение в фундаментальных исследованиях в области медико-биологических наук, клинической диагностике и фармацевтических разработках. Используя революционную платформу рекомбинантных кроличьих моноклональных антител SMab, компания ABclonal разработала проточные кроличьи моноклональные антитела ABflo, которые демонстрируют высокую специфичность, чувствительность и стабильность от партии к партии. Эти антитела позволяют анализировать и сортировать клетки с высоким соотношением сигнал/шум. ABclonal предлагает комплексное решение для анализа проточной цитометрии и функциональных анализов, помогая исследователям получать высококачественные и воспроизводимые результаты, одновременно ускоряя научные исследования. |
||||||||||||
|
A22520.100μg
|
|
100 мкл
|
транспортировка +2...+8 °C
|
|
45 183, руб.
|
|
|
|
||||
|
Проточная цитометрия (FCM) — это широко используемый метод, в котором используется проточный цитометр для проведения одновременного многопараметрического качественного и количественного анализа, а также сортировки клеток или частиц в состоянии быстрого линейного потока под воздействием лазерного излучения определенной длины волны. Эта технология находит широкое применение в фундаментальных исследованиях в области медико-биологических наук, клинической диагностике и фармацевтических разработках. Используя революционную платформу рекомбинантных кроличьих моноклональных антител SMab, компания ABclonal разработала проточные кроличьи моноклональные антитела ABflo, которые демонстрируют высокую специфичность, чувствительность и стабильность от партии к партии. Эти антитела позволяют анализировать и сортировать клетки с высоким соотношением сигнал/шум. ABclonal предлагает комплексное решение для анализа проточной цитометрии и функциональных анализов, помогая исследователям получать высококачественные и воспроизводимые результаты, одновременно ускоряя научные исследования. |
||||||||||||
|
A22152.100μg
|
|
100 мкг
|
|
По запросу По запросу |
|
|
|
|||||
|
Проточная цитометрия (FCM) — это широко используемый метод, в котором используется проточный цитометр для проведения одновременного многопараметрического качественного и количественного анализа, а также сортировки клеток или частиц в состоянии быстрого линейного потока под воздействием лазерного излучения определенной длины волны. Эта технология находит широкое применение в фундаментальных исследованиях в области медико-биологических наук, клинической диагностике и фармацевтических разработках. Используя революционную платформу рекомбинантных кроличьих моноклональных антител SMab, компания ABclonal разработала проточные кроличьи моноклональные антитела ABflo, которые демонстрируют высокую специфичность, чувствительность и стабильность от партии к партии. Эти антитела позволяют анализировать и сортировать клетки с высоким соотношением сигнал/шум. ABclonal предлагает комплексное решение для анализа проточной цитометрии и функциональных анализов, помогая исследователям получать высококачественные и воспроизводимые результаты, одновременно ускоряя научные исследования. |
||||||||||||
|
A22063.100μg
|
|
100 мкг
|
|
По запросу По запросу |
|
|
|
|||||
|
Проточная цитометрия (FCM) — это широко используемый метод, в котором используется проточный цитометр для проведения одновременного многопараметрического качественного и количественного анализа, а также сортировки клеток или частиц в состоянии быстрого линейного потока под воздействием лазерного излучения определенной длины волны. Эта технология находит широкое применение в фундаментальных исследованиях в области медико-биологических наук, клинической диагностике и фармацевтических разработках. Используя революционную платформу рекомбинантных кроличьих моноклональных антител SMab, компания ABclonal разработала проточные кроличьи моноклональные антитела ABflo, которые демонстрируют высокую специфичность, чувствительность и стабильность от партии к партии. Эти антитела позволяют анализировать и сортировать клетки с высоким соотношением сигнал/шум. ABclonal предлагает комплексное решение для анализа проточной цитометрии и функциональных анализов, помогая исследователям получать высококачественные и воспроизводимые результаты, одновременно ускоряя научные исследования. |
||||||||||||
|
A22156.100μg
|
|
100 мкг
|
|
По запросу По запросу |
|
|
|
|||||
|
Проточная цитометрия (FCM) — это широко используемый метод, в котором используется проточный цитометр для проведения одновременного многопараметрического качественного и количественного анализа, а также сортировки клеток или частиц в состоянии быстрого линейного потока под воздействием лазерного излучения определенной длины волны. Эта технология находит широкое применение в фундаментальных исследованиях в области медико-биологических наук, клинической диагностике и фармацевтических разработках. Используя революционную платформу рекомбинантных кроличьих моноклональных антител SMab, компания ABclonal разработала проточные кроличьи моноклональные антитела ABflo, которые демонстрируют высокую специфичность, чувствительность и стабильность от партии к партии. Эти антитела позволяют анализировать и сортировать клетки с высоким соотношением сигнал/шум. ABclonal предлагает комплексное решение для анализа проточной цитометрии и функциональных анализов, помогая исследователям получать высококачественные и воспроизводимые результаты, одновременно ускоряя научные исследования. |
||||||||||||
|
A22508.100μg
|
|
100 мкг
|
|
45 183, руб.
|
|
|
|
|||||
|
Проточная цитометрия (FCM) — это широко используемый метод, в котором используется проточный цитометр для проведения одновременного многопараметрического качественного и количественного анализа, а также сортировки клеток или частиц в состоянии быстрого линейного потока под воздействием лазерного излучения определенной длины волны. Эта технология находит широкое применение в фундаментальных исследованиях в области медико-биологических наук, клинической диагностике и фармацевтических разработках. Используя революционную платформу рекомбинантных кроличьих моноклональных антител SMab, компания ABclonal разработала проточные кроличьи моноклональные антитела ABflo, которые демонстрируют высокую специфичность, чувствительность и стабильность от партии к партии. Эти антитела позволяют анализировать и сортировать клетки с высоким соотношением сигнал/шум. ABclonal предлагает комплексное решение для анализа проточной цитометрии и функциональных анализов, помогая исследователям получать высококачественные и воспроизводимые результаты, одновременно ускоряя научные исследования. |
||||||||||||
|
AS002.100ul
|
|
100 мкл
|
хранение -20°C, транспортировка +4°C
|
|
8 839, руб.
|
|
|
|
||||
|
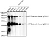
Антитела вторичные меченые, изотип IgG, поликлональные, реактивность — IgG (H+L) человека. |
||||||||||||
|
|
||||||||||||
См. также:
Антитела вторичныеС помощью личного кабинета Вы сможете:
Сравнение