Top.Mail.Ru
kemerovo@dia-m.ru 8 (800) 234-05-08
+7 (923) 158-67-53
Ваш регион Москва?

Гистология, цитология: проводка, окраска, анализ

Гистология — это раздел биологии и медицины, изучающий структуру тканей и клеток человека и животных. Гистология используется во многих областях медицины и науки, таких как судебная медицина, онкология, патологическая анатомия, ветеринария....

Гистология — это раздел биологии и медицины, изучающий структуру тканей и клеток человека и животных. Гистология используется во многих областях медицины и науки, таких как судебная медицина, онкология, патологическая анатомия, ветеринария.

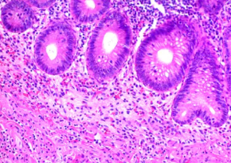
Для изучения образцов тканей на микроскопическом уровне используются методы гистологического анализа, которые включают фиксацию, дегидратацию, заключение в парафин, приготовление срезов и их окрашивание.

Проводка — это процесс приготовления образцов тканей и клеток для микроскопического исследования. Обычно это включает в себя фиксацию, которая предотвращает разложение и изменения в структуре образца, дегидратацию и парафинизацию для придания образцам достаточной твердости для получения тонкого среза.

Для изучения образцов тканей на микроскопическом уровне используются методы гистологического анализа, которые включают фиксацию, дегидратацию, заключение в парафин, приготовление срезов и их окрашивание.Окраска используется для усиления визуализации структур в образцах ткани и клеток. Окрашивающие агенты, например, гематоксилин и эозин (H&E), используются для выделения различных компонентов тканей и клеток. Гематоксилин красит ядра клеток в синий или фиолетовый цвет, в то время как эозин окрашивает цитоплазму и структуры соединительной ткани в розовый или красный цвет. Существуют и другие методы окраски, например, иммуногистохимическая окраска, которая может идентифицировать определенные белки и другие молекулы в клетках.

Анализ образцов обычно выполняется под микроскопом. Это может включать в себя оценку морфологии и организации клеток, распределения и характеристики конкретных структур внутри клеток (например, ядра, митохондрии, эндоплазматический ретикулум и т.д.), а также любых патологических изменений. В некоторых случаях могут использоваться более продвинутые методы визуализации, такие как крио- и сканирующая электронная микроскопия. Дополнительно можно использовать конфокальные микроскопы и камеры высокого разрешения для более детального изучения структуры и функций клеток и тканей.
Ваш заказ будет обработан
в ближайшее время.
Мы пришлем уведомление, как только все будет готово. Спасибо!